COMMENT SE DÉROULE UN EXAMEN ?
Dans la majeure partie des cas, l’animal n’est pas tranquillisé et rarement tondu. Il est couché sur le côté ou debout, un électrocardiogramme est branché sur votre animal.
Vous pouvez assister à l’examen échographique de votre animal.
Votre animal peut manger avant cet examen, sauf au cas ou une tranquillisation est nécessaire, il peut également prendre son traitement comme à son habitude.
Avant cet examen, munissez-vous du dossier médical de votre chien ainsi que ses éventuelles ordonnances, antécédant et carnet de santé.
LES EXAMENS
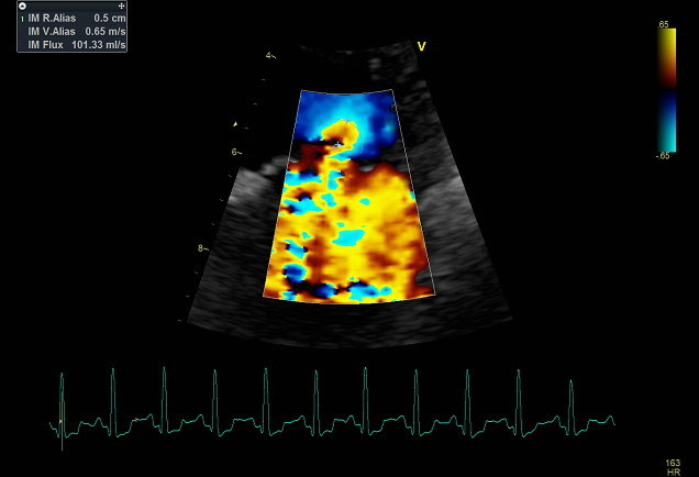
CONSULTATION DE CARDIOLOGIE, ECHOGRAPHIE DOPPLER



L’échographie est un examen indolore qui permet de visualiser la morphologie cardiaque et d’évaluer les flux sanguins au sein du cœur, on peut alors estimer la fonction cardiaque, cet examen se déroule couché ou debout, sans tranquilisation dans la majorité des cas.
ELECTROCARDIOGRAPHIE (ECG)

Cet examen évalue l’activité électrique cardiaque de votre animal
Ci-contre : mise en place d’un électrocardiogramme afin d’évaluer le rythme cardiaque de votre animal
MESURE DE LA PRESSION ARTÉRIELLE

Mesure de la pression artérielle : La mesure de pression artérielle par méthode oscillométrique ou par méthode Doppler permet d’obtenir la tension systolique + – diastolique et moyenne de votre animal, cela permet ainsi le dépistage d’hypertension, maladie sous diagnostiquée, notamment chez les animaux âgés, qu’elle soient primaires ou secondaires ou des hypotensions (lors de choc, de bas débit cardiaque…)
HOLTER CARDIAQUE

Cet examen permet de réaliser un ECG sur 24h à 48h afin d’évaluer la présence et/ou l’intensité de troubles du rythme, cet examen est également utile dans le dépistage des cardiomyopathies dilatées (Dobermann, Dogue Allemand), il permet de savoir s’il est intéressant d’instaurer une médication dans la gestion de ces troubles du rythme et d’en faire leur suivi.
ÉCHOGRAPHIE INTERVENTIONNELLE

